Bilek Geliştirme Yöntemleri ve Teknikleri
Bilek geliştirme, sporcular ve fiziksel aktiviteye katılan bireyler için kritik bir unsurdur. Bilek kaslarının güçlendirilmesi ve esnekliğinin artırılması amacıyla çeşitli antrenman teknikleri ve yöntemleri uygulanabilir. Bu süreçte dikkat edilmesi gereken noktalar, yaralanma riskini azaltarak performansı artırmayı hedefler.
Bilek geliştirme, özellikle sporcular ve fiziksel aktiviteye katılan bireyler için son derece önemli bir konudur. Bilek, birçok günlük aktivitede ve spor branşında kritik bir rol oynar. Bilek kaslarını güçlendirmek, esnekliği artırmak ve yaralanma riskini azaltmak için çeşitli yöntemler ve teknikler bulunmaktadır. Bu makalede, bilek geliştirme yöntemleri ve teknikleri hakkında detaylı bilgi verilecektir. Bilek AnatomisiBilek, ön kol ile el arasında yer alan karmaşık bir eklem yapısıdır. Bu bölgedeki kaslar, tendonlar ve ligamentler, bileğin hareket kabiliyetini ve gücünü etkiler. Bilek üç ana bölümden oluşur:
Bu yapılar, bileğin günlük aktivitelerde ve spor performansında etkin bir şekilde çalışmasını sağlar. Bilek Geliştirme YöntemleriBilek geliştirme yöntemleri, bireylerin ihtiyaçlarına ve hedeflerine göre değişiklik gösterebilir. Aşağıda, en yaygın bilek geliştirme yöntemleri sıralanmıştır:
Direnç AntrenmanlarıDirenç antrenmanları, bilek kaslarını güçlendirmek için etkili bir yöntemdir. Ağırlıklar veya direnç bantları kullanarak yapılan bu tür egzersizler, kasların dayanıklılığını artırır. Örnek egzersizler:
Esneklik EgzersizleriEsneklik egzersizleri, bileklerin hareket kabiliyetini artırmak için oldukça önemlidir. Bu tür egzersizler, kasların ve tendonların esnekliğini geliştirir. Örnek esneklik egzersizleri:
Fonksiyonel AntrenmanlarFonksiyonel antrenmanlar, günlük hayatta karşılaşılan hareketleri taklit ederek yapılan egzersizlerdir. Bu tür antrenmanlar, bilek kaslarını güçlendirirken aynı zamanda denge ve koordinasyonu da geliştirir. Örnek fonksiyonel antrenmanlar:
Yüksek Tekrar AntrenmanlarıYüksek tekrar antrenmanları, kasların dayanıklılığını artırmak için faydalıdır. Bu tür antrenmanlar, düşük ağırlıklarla yüksek sayıda tekrar yapmayı içerir. Örnek yüksek tekrar antrenmanları:
Bilek Geliştirmede Dikkat Edilmesi GerekenlerBilek geliştirme sürecinde dikkat edilmesi gereken bazı önemli noktalar vardır:
SonuçBilek geliştirme yöntemleri ve teknikleri, sporcular ve fiziksel aktivitelere katılan bireyler için hayati önem taşır. Direnç antrenmanları, esneklik egzersizleri, fonksiyonel antrenmanlar ve yüksek tekrar antrenmanları gibi yöntemler, bilek kaslarının güçlenmesini ve yaralanma riskinin azalmasını sağlar. Bu yöntemlerin düzenli olarak uygulanması, bireylerin performansını artıracak ve genel fiziksel sağlık durumunu olumlu yönde etkileyecektir. Ek olarak, bireylerin kendi vücut yapısına ve spor branşına uygun antrenman programlarını belirlemeleri önemlidir. Kişisel antrenörler veya fizyoterapistler ile çalışmak, bireylerin daha etkili ve güvenli bir şekilde bilek geliştirmesine yardımcı olabilir. |





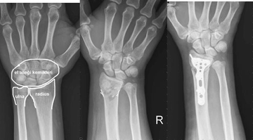
.webp)
.webp)



.webp)
.webp)




















.webp)











.webp)
.webp)

Ayak bilek kasları için antrenman yaparken nelere dikkat etmeliyim? Özellikle esneklik ve direnç egzersizlerinin etkisini merak ediyorum. Bu kasların güçlenmesi, spor performansımı nasıl etkiler? Herhangi bir öneriniz var mı? Yüksek tekrar antrenmanlarının faydaları hakkında bilgi verirseniz sevinirim.
Ayak Bilek Kasları İçin Antrenman Dikkat Edilmesi Gerekenler
Ayak bilek kasları için antrenman yaparken, öncelikle doğru formu kullanmak çok önemlidir. Egzersizleri yaparken vücudunuzu dengede tutmalı ve aşırı yüklenmeden kaçınmalısınız. Isınma hareketleri ile kaslarınızı hazırlamak, sakatlanma riskini azaltır. Ayrıca, esneklik egzersizleri yaparak kasların ve tendonların elastikiyetini artırmak, hareket kabiliyetinizi geliştirir.
Esneklik ve Direnç Egzersizlerinin Etkisi
Esneklik egzersizleri, ayak bileklerinizin hareket aralığını artırırken, direnç egzersizleri kas kuvvetinizi artırır. Bu iki tür egzersiz birlikte uygulandığında, ayak bilek kaslarınızın genel performansını iyileştirir. Güçlü ve esnek kaslar, özellikle koşu veya sıçrama gibi spor dallarında daha iyi performans göstermenizi sağlar.
Kas Güçlenmesinin Spor Performansına Etkisi
Ayak bilek kaslarının güçlenmesi, denge ve stabiliteyi artırarak yaralanma riskini azaltır. Ayrıca, daha güçlü kaslar, daha iyi bir güç transferi sağlar ve bu da performansınızı olumlu yönde etkiler. Özellikle atletizm, basketbol gibi spor branşlarında bu durum oldukça belirgindir.
Öneriler
Yüksek tekrar antrenmanları, kas dayanıklılığını artırma konusunda oldukça etkilidir. Bu tür antrenmanlar, kasların yorulmadan daha fazla çalışmasını sağlar. Haftada birkaç kez 15-20 tekrar ile yapılan direnç egzersizleri, kasların güçlenmesine yardımcı olur. Ayrıca, esneklik çalışmalarını da antrenman programınıza dahil ederek, kaslarınızı daha esnek hale getirebilirsiniz. Unutmayın, her antrenman sonrasında kaslarınızı dinlendirmek de önemlidir.
Bilek geliştirme çalışmalarında dambıl bilek kalınlaştırma yöntemleri gerçekten etkili. Özellikle evde uygulanan egzersizler, bilek kaslarını güçlendirmek için mükemmel bir seçenek. Dambıl kullanarak yapılan hareketler, kasların sağlıklı bir şekilde gelişmesini sağlıyor. Düzenli çalışma ile daha güçlü bileklere sahip olmak mümkün!
Merhaba Özengin,
Yorumunuz için teşekkür ederim. Bilek geliştirme çalışmaları gerçekten de önemli bir konu. Dambıl kullanarak yapılan egzersizlerin, bilek kaslarını güçlendirmedeki rolü yadsınamaz. Özellikle evde uygulanan bu tür egzersizler, hem pratik hem de etkili bir yöntem sunuyor. Düzenli çalışma ile bileklerin güçlenmesi ve dayanıklılığın artırılması mümkün. Ayrıca, bu tür egzersizlerin günlük yaşamda da fayda sağladığını unutmamak gerek. Sağlıklı ve güçlenmiş bilekler, hem spor yaparken hem de günlük aktivitelerde büyük avantajlar sağlar. Başarılar dilerim!
Bilek geliştirme egzersizleri, günlük aktivitelerde yaşanan sakatlanmaları önlemek için büyük önem taşıyor. Kol bileği kalınlaştırma amacıyla düzenli yapılan çalışmalar, hem bilek kaslarının gücünü artırıyor hem de sağlıklı bir yaşam sürmemize yardımcı oluyor. Evde de kolayca uygulanabilir.
Kudret Bey, bilek geliştirme egzersizlerinin önemi konusunda çok doğru bir noktaya değindiniz. Bilek kaslarını güçlendirmek, günlük yaşamda karşılaşabileceğimiz sakatlanma risklerini önemli ölçüde azaltıyor. Özellikle bilgisayar başında çalışanlar veya el becerileri gerektiren işlerle uğraşanlar için bu egzersizler, kas dengesini sağlamak ve hareket kabiliyetini artırmak açısından kritik bir rol oynuyor.
Evde Uygulama Kolaylığı ise, bu egzersizlerin en büyük avantajlarından biri. Herkesin rahatlıkla uygulayabileceği basit hareketler ile bilek gücünü artırmak mümkün. Düzenli yapılan bu egzersizler, zamanla hem kuvvet hem de esneklik kazandırıyor. Dolayısıyla, sağlıklı bir yaşam sürmek ve günlük aktiviteleri daha güvenli bir şekilde gerçekleştirmek için mutlaka bilek geliştirme egzersizlerine yer vermek gerekiyor. Teşekkürler, bu önemli konuda bilgilendirdiğiniz için.
Bilek geliştirme konusunda yaptığınız açıklamalar oldukça faydalı. Evde bilek kaslarını güçlendirmek için uygulanan egzersizlerin gerekliliği gerçekten önemli. Özellikle bilgisayar başında uzun süre vakit geçirenler için bileklerin zayıflaması sıkça yaşanan bir sorun. Bu durumda, evde kolayca yapılabilen egzersizlerin, bilek sağlığını korumak açısından büyük katkı sağlayacağına inanıyorum. Dambıl kullanmanın yanı sıra, pet şişeler gibi alternatif ağırlıkların da işe yaradığını öğrenmek oldukça pratik bir bilgi. Egzersizlerin düzenli olarak yapılmasının yanı sıra, doğru formu korumak ve ısınma hareketlerine dikkat etmek de sakatlanma riskini azaltmak için önemli. Sizin bu konu üzerinde daha fazla bilgi paylaşmanız ya da deneyimlerinizi aktarmanız mümkün mü?
Merhaba Takiyyuddin,
Yorumunuz için teşekkür ederim. Bilek geliştirme konusundaki düşünceleriniz oldukça değerli. Evde yapılabilecek egzersizlerin önemi, özellikle bilgisayar başında uzun saatler geçirenler için gerçekten göz ardı edilemez. Bilek kaslarının güçlendirilmesi, günlük yaşamda karşılaşılabilecek pek çok sorunun önüne geçebilir.
Egzersizlerin Önemi
Düzenli olarak yapılan egzersizler, sadece kasları güçlendirmekle kalmaz, aynı zamanda eklem sağlığını da korur. Isınma hareketlerini atlamamak, sakatlanma riskini azaltmanın yanı sıra, egzersizlerin verimliliğini artırır. Doğru formda hareket etmek, kasların daha etkili çalışmasını sağlar.
Alternatif Ağırlıklar
Dambıl dışında pet şişeler gibi alternatif ağırlıklar kullanmak, evde egzersiz yaparken maddi olarak da avantaj sağlar. Bu tür malzemeleri kullanarak bilek kaslarını çalıştırmak oldukça pratik ve erişilebilir bir yöntemdir.
Deneyimlerim
Benim de bu konuda birkaç önerim var. Örneğin, bilek döndürme hareketleri, bilek eklemlerinin esnekliğini artırırken, dirsekten yukarı kaldırma hareketleri de kasların güçlenmesine yardımcı olur. Ayrıca, bilek esnetme hareketleri, kasların daha fazla esneklik kazanmasını sağlar.
Bu tür egzersizleri günlük rutininize dahil etmek, zamanla önemli farklar yaratacaktır. Farklı egzersizleri deneyerek hangilerinin sizin için en etkili olduğunu keşfetmek de faydalı olabilir. Daha fazla bilgi ya da deneyim paylaşımında bulunmak isterseniz, her zaman buradayım.
Sağlıklı günler dilerim!