Kesilmiş Bilek Tedavisi
Kesilmiş bilek yaralanmaları, acil müdahale gerektiren ciddi travmalardır. Bu yazıda, kesilmiş bilek tedavisinin aşamaları, komplikasyonları ve rehabilitasyon süreçleri ele alınmaktadır. Ayrıca, fiziksel ve psikolojik etkilerin de dikkate alınması gerektiği vurgulanmaktadır.
Kesilmiş bilek, travmatik bir yaralanma sonucu meydana gelen ve genellikle acil müdahale gerektiren bir durumdur. Bu tür yaralanmalar, çoğunlukla kesici aletler, kazalar veya şiddet olayları sonucunda gerçekleşir. Kesilmiş bilek, hem fiziksel hem de psikolojik etkileri olan ciddi bir yaralanmadır. Bu makalede, kesilmiş bilek tedavisinin aşamaları, komplikasyonları ve rehabilitasyon süreçleri ele alınacaktır. Kesilmiş Bilek Yaralanmasının Nedenleri Kesilmiş bilek yaralanmaları, çeşitli nedenlerden kaynaklanabilir. Bu nedenler arasında:
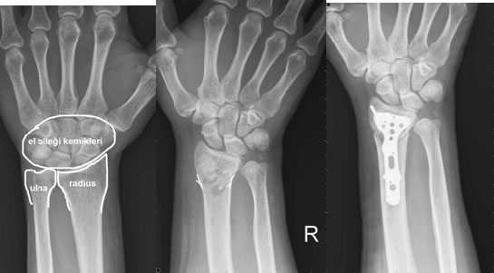
Bu tür yaralanmalar, genellikle ani ve beklenmedik durumlar sonucunda meydana gelir. Yaralanmanın ciddiyeti, kesik alanının derinliğine, kanamanın miktarına ve sinir veya tendonların etkilenip etkilenmediğine göre değişiklik gösterir. Kesilmiş Bilek Tedavi Aşamaları Kesilmiş bilek tedavisi, genellikle üç ana aşamadan oluşur: acil müdahale, cerrahi onarım ve rehabilitasyon.
Komplikasyonlar Kesilmiş bilek tedavisinde bazı komplikasyonlar ortaya çıkabilir. Bu komplikasyonlar arasında:
Psikolojik Etkiler Kesilmiş bilek yaralanmaları, yalnızca fiziksel değil, aynı zamanda psikolojik etkiler de oluşturabilir. Travma sonrası stres bozukluğu (TSSB), anksiyete ve depresyon gibi durumlar, hastalarda görülebilir. Bu nedenle, psikolojik destek ve terapi, tedavi sürecinin önemli bir parçası olmalıdır. Sonuç Kesilmiş bilek tedavisi, çok disiplinli bir yaklaşım gerektiren karmaşık bir süreçtir. Acil müdahale, cerrahi onarım ve rehabilitasyon aşamalarının her biri, hastanın iyileşme sürecinde kritik öneme sahiptir. Ayrıca, psikolojik destek sunulması, hastaların genel iyilik hallerini artırabilir. Yaralanmalardan korunmak için güvenli çalışma ve yaşam koşullarının sağlanması, bu tür travmatik olayların önlenmesinde etkili bir strateji olacaktır. |


.webp)
.webp)



















.webp)











.webp)
.webp)

Bileğimi cam kesti ve kanamı durduramıyorum, ne yapmalıyım? Kan kaybının önemi ve tehlikesi ne kadar büyük?
Rezan, derhal yardım alman gerekiyor. Öncelikle, kanayan bölgeyi temiz bir bez veya bandaj ile sıkıca sararak baskı uygulamalısın. Bu kanamın durmasına yardımcı olabilir. Eğer mümkünse, bileğini kalp seviyesinin üzerinde tutmaya çalış. Ancak bunlar geçici önlemler, en kısa zamanda bir sağlık kuruluşuna giderek profesyonel yardım almalısın. Kan kaybı ciddi bir durumdur ve yeterince kan kaybedersen vücudunun hayati fonksiyonları tehlikeye girebilir. Lütfen vakit kaybetmeden bir uzmana başvur.